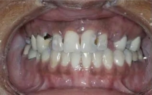
Lisa never smiled. She suffered from broken teeth and decay and didn’t want anyone to see her teeth. We restored her teeth, crowns, and bridgework, and now her smile is not only exquisite but healthy, strong, and functional as well.BeforeAfterPreviousNext