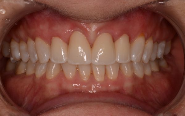
Welcome to our Smile Gallery, where we showcase the transformative power of exceptional dental care. Here, you’ll find stunning before-and-after photos of our patients who have experienced life-changing results through dental bridges, crowns, implants, cosmetic dentistry, and dentures. Each smile tells a story of renewed confidence and improved oral health, achieved through our expert treatments. Our dedicated team of dental professionals is committed to providing personalized care that meets the unique needs of every patient, ensuring beautiful, lasting results. Explore the incredible transformations and imagine the possibilities for your own smile. Ready to start your journey towards a brighter, healthier smile? Contact us today at (302) 994-0979 to schedule your consultation and take the first step toward achieving the smile you’ve always dreamed of!





















