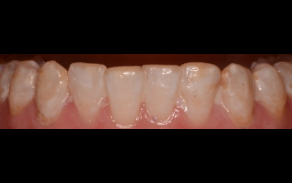
Aime suffered from brown and white spots on her teeth from childhood. Whitening alone could not remove her deep stains. Her young niece asked her why her teeth were so “dirty” and Aime knew she had to make a change.
Through a combination of enamel micro-abrasion and ICON resin infiltration, Dr. Goodling was able to permanently remove the spots from Aime’s teeth, virtually erasing the staining that she had dealt with for years. Aime’s confidence in her smile has improved tremendously!


