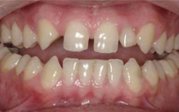
This young man had spent his life trying to hide his congenitally missing teeth, but now he was getting married and wanted to surprise his wife with a handsome new look. We created thee-unit bridges that blended perfectly with his smile. The result was beautiful and perfectly natural-looking. What a transformation!


