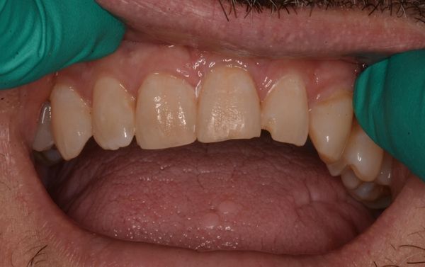
This patient came to us with a chipped lateral incisor. We were able to use cosmetic composite bonding to make the chip disappear and restore their smile.BeforeAfterPreviousNext