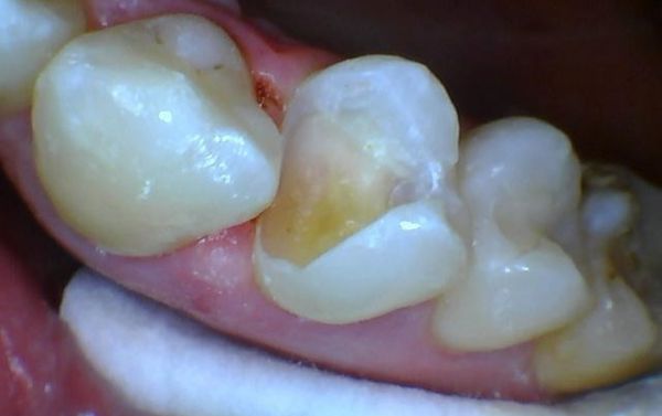
This patient was missing a significant portion of one of their teeth. We were able to use cosmetic composite bonding to restore the structure and appearance of the tooth. Now their tooth looks great and functions like new.BeforeAfterPreviousNext