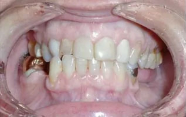
Kay is one of our most dramatic extreme makeover patients. A cancer survivor, Kay had become accustomed to taking care of everyone but herself and her teeth showed it. To restore and renew her smile, we created remarkably natural looking restorations including a bridge, partial dentures and porcelain veneers. Now just look at her amazing smile.


