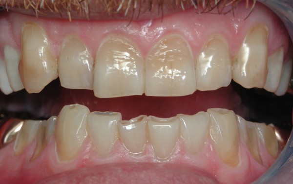
Mike’s teeth were stained, short and had worn down unevenly from years of grinding and clenching his teeth. To make his bite more comfortable and refresh his appearance we restored his teeth with porcelain crowns and veneers. He was so pleased at how much younger he looked and felt, that he took us all out to dinner to celebrate!


